Best Dentist in Newnan GA
Gentle Dentistry of Newnan PC
Are you feeling anxious about visiting the dentist? We understand, and we're here to change that. Our mission is to transform your smile and how you think about dental care. If it's been a while since your last appointment or if you're concerned about the appearance of your teeth, don't worry—we're here for you. Our practice is designed for those nervous or uneasy about dental visits. You're not alone in this; many others share your feelings, and we're dedicated to providing gentle, compassionate care that puts your mind at ease.
Our Goal
Our practice is dedicated to providing thorough dental care for your entire family, all while ensuring the utmost comfort. We understand that visiting the dentist often feels like a task, but we aim to make your time with us as pleasant as possible.
View More
Meet Our Doctor
Ria Sahara
Though born in Chicago, IL, Dr. Ria Sahara spent most of her childhood in Holland, MI. A passionate admirer of theater and art, she also loves to explore new places through travel. Dr. Sahara earned both her Bachelor of Science and Doctor of Dental Surgery degrees from the University of Michigan. She further honed her expertise by completing an Advanced Education in General Dentistry Residency at the University of North Carolina, where she mastered the latest dental techniques and developed a strong foundation in comprehensive treatment planning.
Schedule Your Next Appointment At Gentle Dentistry of Newnan PC Today!
Request an AppointmentServices
Occlusal-Night Guards
NIGHT GUARDS/ OCCLUSAL GUARDS IN NEWNAN, GA – PROTECT YOUR SMILE AND OVERALL HEALTH Gentle Dentistry of Newnan PC offers custom night guards/ occlusa...
Snore Guards
At Gentle Dentistry of Newnan PC, Dr. Ria Sahara, a trusted dentist in Newnan, GA, is dedicated to helping you and your family enjoy healthier, restfu...
Dental Bridges
DENTAL BRIDGES IN NEWNAN, GA – RESTORE YOUR SMILE WITH GENTLE CARE A beautiful smile is one of your most important features, and thus missing teeth c...
General and Restorative Dentistry
GENERAL AND RESTORATIVE DENTISTRY IN NEWNAN, GA – PERSONALIZED CARE FOR A HEALTHY SMILE At Gentle Dentistry of Newnan PC, Dr. Ria Sahara provides com...
Smile Makeovers
SMILE MAKEOVERS IN NEWNAN, GA – ACHIEVE YOUR DREAM SMILE WITH GENTLE CARE Your smile is often the first thing people notice about you, conveying warm...
Cosmetic Dentistry in Newnan GA
COSMETIC DENTISTRY IN NEWNAN, GA – ACHIEVE A RADIANT SMILE WITH PERSONALIZED CARE A beautiful smile is more than just a reflection of happiness; it’...
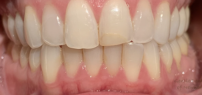
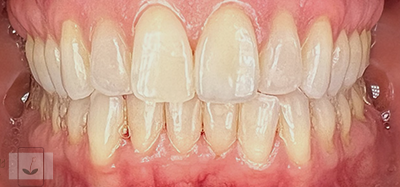
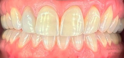
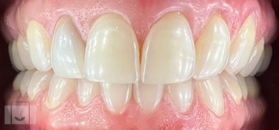
Smile Gallery




Serving these communities and many more
Visit Our Office
Office Hours
- MON8:00 am - 4:00 pm
- TUE8:00 am - 4:00 pm
- WED8:00 am - 4:00 pm
- THU8:00 am - 4:00 pm
- FRIClosed
- SATClosed
- SUNClosed