
At Gentle Dentistry of Newnan, we provide a range of specialty dental services designed specifically for adults. Whether you want to restore your smile, improve comfort, or address advanced dental needs, our practice offers personalized, compassionate care tailored to your long-term oral health. Dr. Sahara takes a gentle, patient-focused approach, ensuring that every treatment supports both function and confidence.
What Are Specialty Adult Dental Services?
Adult Specialty Dental Services refer to advanced procedures that address restorative, cosmetic, and functional needs that typically arise later in life. These treatments support oral health concerns related to aging, tooth loss, bite changes, gum disease, or cosmetic improvements. Each service is customized to help adults maintain a healthy, stable, and beautiful smile.
We offer a comprehensive selection of advanced services, including:
These services are tailored to adult patients who want to restore function, enhance aesthetics, and improve overall oral comfort.
Dental implants provide a long-term solution for patients missing one or more teeth. They restore appearance, function, and stability with results that look and feel natural. Implants help support jawbone health and prevent shifting in surrounding teeth. Dr. Sahara works closely with trusted specialists to ensure seamless treatment and successful outcomes.

Porcelain veneers offer a conservative and effective way to enhance your smile. Veneers are thin, custom shells that improve the appearance of chipped, discolored, uneven, or worn teeth. They are crafted to blend naturally with your smile and provide durable, beautiful results.
Gum health is an important part of adult oral care. If signs of gum disease are present, scaling and root planing may be recommended to clean beneath the gumline and promote healing. Periodontal therapy helps prevent progression of gum disease, reduces inflammation, and supports long-term tooth stability.
At Gentle Dentistry of Newnan, we offer custom night guards designed to protect your teeth from grinding and clenching while you sleep. Our professionally fitted night guards provide a comfortable, precise fit that helps prevent tooth wear, jaw pain, headaches, and TMJ discomfort. If you’re looking for a trusted dentist in Newnan, GA for custom night guards, our team is here to help you sleep better and protect your smile.
Snore guards are specially designed oral appliances that help reduce snoring by improving airflow during sleep. They can be an effective option for adults experiencing snoring related to airway positioning. If additional airway or sleep apnea concerns are present, we may refer you to a sleep specialist.

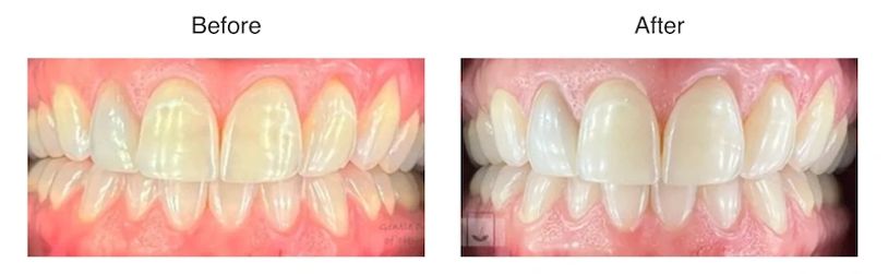
Professional teeth whitening is a safe and effective option for adults looking to brighten their smile. We offer whitening treatments designed to minimize sensitivity while delivering noticeable results. Whitening can help enhance confidence and refresh the appearance of your smile.
Adults choose our practice because of our personalized care, gentle approach, and commitment to comfort. Dr. Sahara listens carefully to each patient’s concerns and goals, providing thoughtful recommendations and supportive guidance. Our approach helps adults feel confident in their treatment decisions and secure in their long-term oral health.
Whether you are restoring your smile, improving your daily comfort, or seeking cosmetic enhancements, Gentle Dentistry of Newnan is here to support your oral health. We provide advanced services with attention to detail and a calming, compassionate experience.
To learn more about our adult specialty dental services or to schedule a consultation, contact our office or book online. We look forward to helping you achieve a healthy and confident smile.
Gentle Dentistry of Newnan, PC
37-G Calumet Pkwy #201, Newnan, GA 30263
Copyright © 2025 Gentle Dentistry of Newnan, PC - All Rights Reserved.
Powered by Ellet Consulting, LLC